Stomatologie sub microscop

Tratamente dentare pentru toată familia: chirurgie,
terapie, ortodonție, protetică, estetică – toată gama de
îngrijiri dentare în Bălți.

Tratamente dentare pentru toată familia: chirurgie, terapie, ortodonție, protetică, estetică – toată gama de îngrijiri dentare în Bălți.

Stomatologie sub microscop

Doare tare? Sună!

+373 69 126 662

Tratament sub Microscop

Precizie maximă cu ajutorul microscopului, asigurând rezultate eficiente și minim invazive pentru sănătatea și estetica danturii tale.

Endodonție

Tratamentul canalului radicular
este procedura dentară prin
care tratăm infecții la centrul
rădăcinii dintelui.

Implanturi Dentare

Oferim soluții durabile pentru înlocuirea dinților lipsă prin
implanturi dentare de calitate superioară.

Albire Dentară

Proceduri de curățare profesională
a danturii, îndepărtare a petelor și redarea unei nuanțe mai albe și sănătoase.

Protetică Dentară

Reconstruim dantura cu proteze dentare, inclusiv All-on-4 și All-on-6, pentru a-ți reda zâmbetul natural și funcționalitatea completă a danturii.

Prevenție

Menținerea sănătății dinților prin proceduri de îngrijire și curățare, adaptate individual pentru fiecare pacient.

De ce ar trebui să ne alegi pe noi pentru tratamentele tale dentare?

Facem stomatologie sub microscop, o metodă unică în Bălți. Microscopul dentar oferă o vedere clară și mărită de până la 25 de ori, permițând diagnosticarea corectă și tratamente eficiente.

4 motive să vii la Microscop Dental Clinic

Tratăm absolut toate problemele cu dantura, folosind cea mai modernă tehnică în Bălți. În plus, tot în clinica noastră găsești:

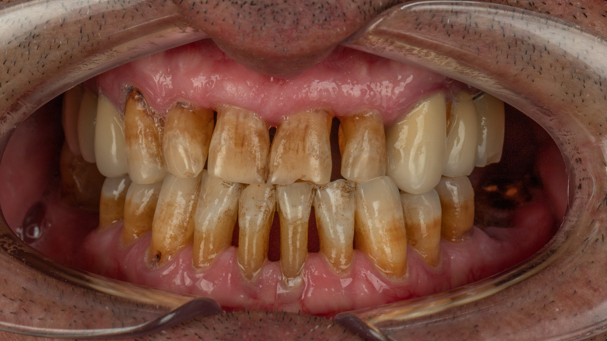
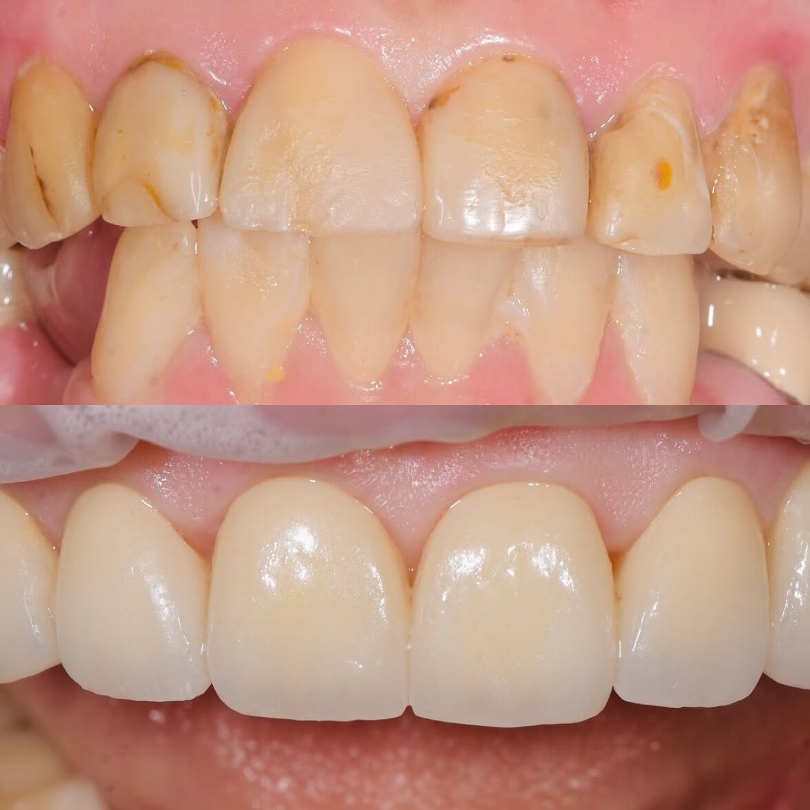
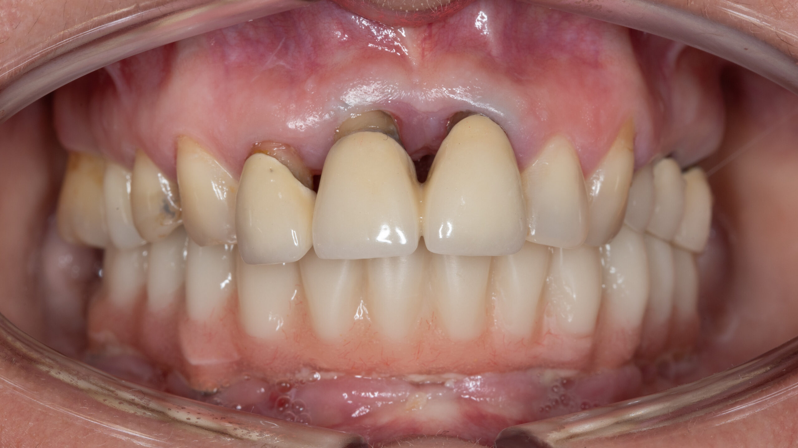
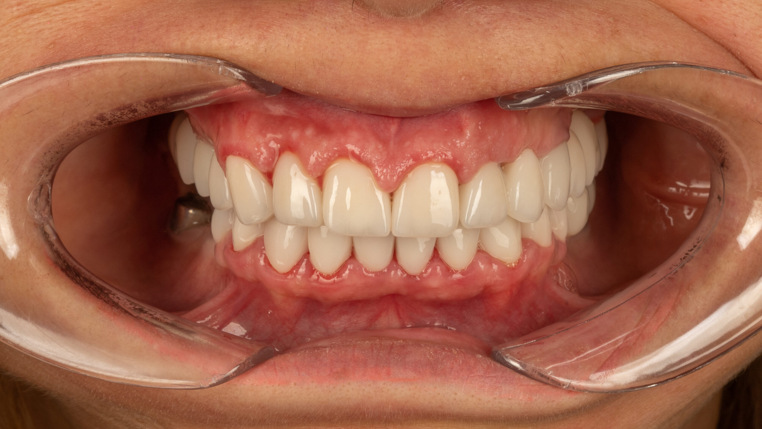
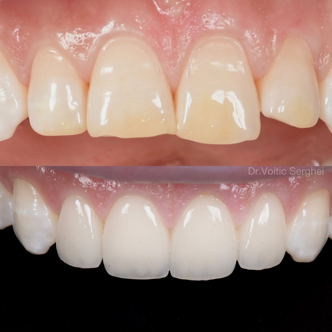
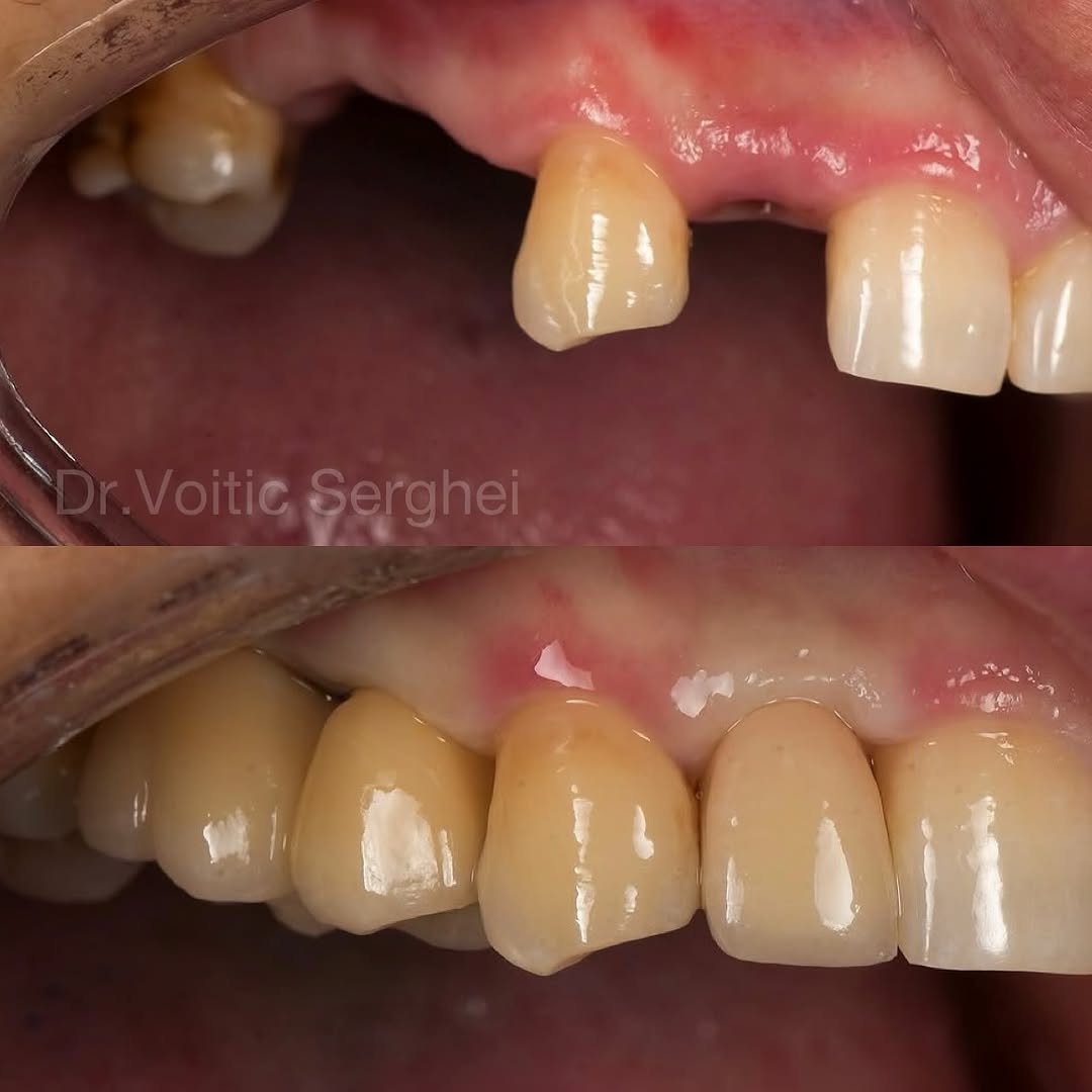
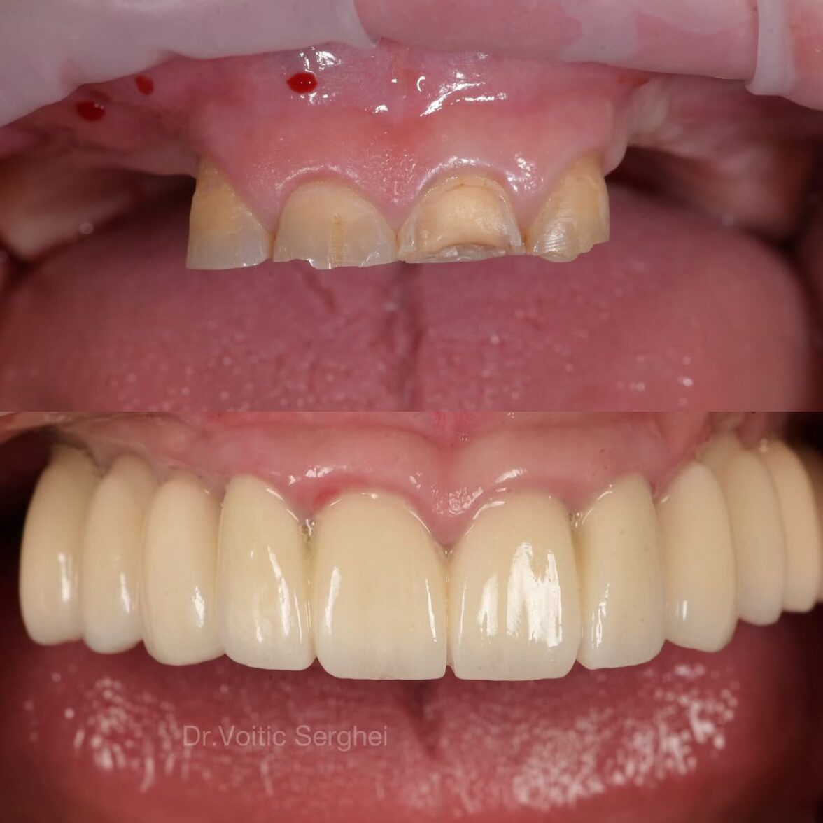
Lucrările noastre

Before After
Before After
Before After
Before After
Before After
Before After
Before After
Before After
Before After
Before After
Before After
Before After
Before After
Before After

Cunoaște medicii noștri

Echipa noastră de medici dentiști este dedicată oferirii de îngrijire profesională și personalizată pentru un zâmbet sănătos și frumos.

DR. Voitic Serghei

Medic implantolog

DR. Pricop Alexandru

Medic Endodont
Andrei Popescu
Andrei Popescu
Am avut o experiență extraordinară la această clinică. Tratamentele sunt de top și personalul foarte amabil. Mi s-a pus un implant dentar și nu am simțit disconfort. Mulțumesc din suflet.
Andrei Popescu
Andrei Popescu
Am avut o experiență extraordinară la această clinică. Tratamentele sunt de top și personalul foarte amabil. Mi s-a pus un implant dentar și nu am simțit disconfort. Mulțumesc din suflet.
Andrei Popescu
Andrei Popescu
Am avut o experiență extraordinară la această clinică. Tratamentele sunt de top și personalul foarte amabil. Mi s-a pus un implant dentar și nu am simțit disconfort. Mulțumesc din suflet.
Andrei Popescu
Andrei Popescu
Am avut o experiență extraordinară la această clinică. Tratamentele sunt de top și personalul foarte amabil. Mi s-a pus un implant dentar și nu am simțit disconfort. Mulțumesc din suflet.
Andrei Popescu
Andrei Popescu
Am avut o experiență extraordinară la această clinică. Tratamentele sunt de top și personalul foarte amabil. Mi s-a pus un implant dentar și nu am simțit disconfort. Mulțumesc din suflet.

Ce Spun Pacienții?

Folosim doar materiale de cea mai bună calitate de pe piață
pentru a oferi pacienților noștri cele mai bune rezultate.

Ce Spun Pacienții?

Folosim doar materiale de cea mai bună calitate de pe piață pentru a oferi pacienților noștri cele mai bune rezultate.

Doare tare? Sună acum și te vom programa cât mai rapid

Tratăm cu grijă orice problemă dentară, folosind imaginea mărită a dintelui, cu ajutorul microscopului.

John Doe
John Doe
Lorem ipsum dolor sit amet, consectetur adipiscing elit. Ut elit tellus, luctus nec ullamcorper mattis, pulvinar dapibus leo.
John Doe
John Doe
Lorem ipsum dolor sit amet, consectetur adipiscing elit. Ut elit tellus, luctus nec ullamcorper mattis, pulvinar dapibus leo.
John Doe
John Doe
Lorem ipsum dolor sit amet, consectetur adipiscing elit. Ut elit tellus, luctus nec ullamcorper mattis, pulvinar dapibus leo.
John Doe
John Doe
Lorem ipsum dolor sit amet, consectetur adipiscing elit. Ut elit tellus, luctus nec ullamcorper mattis, pulvinar dapibus leo.
John Doe
John Doe
Lorem ipsum dolor sit amet, consectetur adipiscing elit. Ut elit tellus, luctus nec ullamcorper mattis, pulvinar dapibus leo.
John Doe
John Doe
Lorem ipsum dolor sit amet, consectetur adipiscing elit. Ut elit tellus, luctus nec ullamcorper mattis, pulvinar dapibus leo.
John Doe
John Doe
Lorem ipsum dolor sit amet, consectetur adipiscing elit. Ut elit tellus, luctus nec ullamcorper mattis, pulvinar dapibus leo.

Cum ne găsești?

Înscrie-te la o consultație!